Prisys Biotechnologies berada di garis depan dalam memajukan penelitian dan pengembangan obat melalui model primata non-manusia (non-human primate/NHP) kami yang inovatif dan komprehensif untuk penyakit imunologi dan inflamasi. Dengan platform praklinis yang kuat dan stabil, kami mengkhususkan diri dalam mentransformasikan penelitian dan pengembangan obat untuk berbagai indikasi imunologi dan peradangan (I&I), dengan fokus khusus pada rheumatoid arthritis (RA), multiple sclerosis (MS), dan penyakit radang usus (IBD).

MENGAPA menggunakan NHP untuk Penelitian I&I?
Penggunaan model NHP untuk penelitian I&I memberikan beberapa keuntungan, termasuk kemampuan untuk mempelajari biomarker manusia, titik akhir klinis, dan sampel biologis kronis, memastikan translatabilitas dosis dan kemanjuran sebenarnya. Model ini juga menawarkan penilaian keamanan farmakologi yang komprehensif dan mengevaluasi sepuluh imunosit utama (Neutrofil, Basofil, Sel B, Sel CD8+ T, Sel CD4+ T, CD4+/CD{{ 4}} Sel T, pDC, Sel NK, Monosit Klasik, dan Monosit Nonklasik). Sebuah studi oleh Nolan GP dkk. (2022) menyoroti efektivitas model NHP, sementara CT scan peradangan paru fase akut pada model pneumonia NHP, yang terdeteksi berdasarkan rangkaian CT manusia, mengonfirmasi terjemahan data (PRISYS, data tidak dipublikasikan, 2023).
Model I&I yang Komprehensif
Model NHP kami dirancang dengan cermat untuk meniru kompleksitas respons imun manusia dan kondisi peradangan. Model I&I Prisys mencakup berbagai studi peradangan spesifik penyakit dan spesifik organ, sehingga menawarkan alat yang sangat berharga bagi para peneliti yang ingin memahami dan memerangi kondisi ini.
Artritis Reumatoid (RA): Model rheumatoid arthritis (RA) kami mereplikasi fitur patologis penting dari RA manusia. Hal ini termasuk penyusutan rongga sendi, hilangnya lempeng pertumbuhan, kerusakan tulang rawan artikular dan meniskus, serta erosi tulang. Karakteristik ini menjadikan model kami sangat relevan untuk mempelajari perkembangan penyakit dan mengevaluasi kemanjuran agen terapi baru.

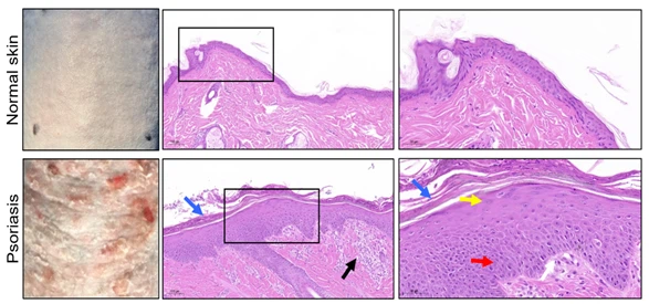
Model Psoriasis:Model psoriasis kami secara efektif mereplikasi temuan patologis yang diamati pada psoriasis manusia. Setelah tantangan IMQ 14-hari, kulit menunjukkan beberapa karakteristik utama: jaringan nekrotik di luar epidermis, ketebalan epidermis yang tidak merata, keratosis lokal yang tidak lengkap, dan penurunan komposisi kolagen di seluruh epidermis dan dermis. Selain itu, terdapat infiltrasi limfosit yang signifikan, yang mencerminkan respons inflamasi yang terlihat pada psoriasis manusia. Model ini sangat berharga untuk mempelajari patofisiologi psoriasis dan mengevaluasi potensi intervensi terapeutik.

Sklerosis Multipel (MS): Model MS kami meniru karakteristik demielinasi inflamasi kronis dari penyakit ini, sehingga memfasilitasi penilaian pengobatan baru yang menargetkan peradangan saraf dan perlindungan saraf.
Penyakit Radang Usus (IBD): Model IBD kami memungkinkan studi tentang peradangan usus kronis, penting untuk mengembangkan terapi baru yang ditujukan untuk mengobati penyakit Crohn dan kolitis ulserativa.
Prisys Biotechnologies menawarkan rangkaian model NHP yang komprehensif untuk berbagai penyakit imunologi dan inflamasi. Ini termasuk model untuk kondisi autoimun sepertiDiabetes Tipe I, peradangan saraf pada Multiple Sclerosis, dan degenerasi saraf pada Penyakit Parkinson. Model inflamasi kami mencakupPenyakit Radang Usus, Pruritus, Endotoksemia, dan peradangan pada jaringan paru, hati, dan ginjal. Kami juga berspesialisasi dalam model untuk infeksi bakteri BSL-2 dan kondisi alergi sepertiAsma, Dermatitis Atopik, dan alergi umum. Selain itu, model kami mendukung fokus studi imunogenisitasRespons yang bergantung pada sel T, hipersensitivitas tipe tertunda, dan imunosupresi. Kami menawarkan rencana pengembangan bersama untuk kondisi seperti sindrom Sjögren, Lupus Eritematosus Sistemik, danNefropati IgA. Terakhir, model Myasthenia Gravis kami memberikan wawasan tentang penyakit neuromuskular autoimun kronis ini.
Mendukung Modalitas Obat yang Berbeda
Prisys Biotechnologies unggul dalam mendukung berbagai modalitas obat, dengan pengalaman luas dalam mengubah modalitas dari molekul kecil menjadi biologis. Rekam jejak kami mencakup keberhasilan penilaian antibodi, terapi gen, dan perawatan inovatif lainnya. Keahlian kami memastikan bahwa proses pengembangan obat Anda didukung oleh data praklinis yang andal, sehingga meningkatkan kemungkinan keberhasilan klinis.
Kemampuan Transformasi Klinis
Untuk memfasilitasi penerjemahan klinis penelitian Anda, kami menawarkan rencana pencitraan in vivo dan bio-sampling yang fleksibel. Kemampuan ini memungkinkan pelacakan perubahan kekebalan dan penyakit akut dan kronis secara akurat, memberikan pemahaman komprehensif tentang dampak terapeutik dari waktu ke waktu.
Tes Imunologi Tingkat Lanjut
Uji imunologi tingkat lanjut kami untuk NHP mencakup profil imunoglobulin darah (IG) yang komprehensif, panel imunosit, dan analisis sitokin. Pengujian ini penting untuk mengevaluasi respons imun dan kemanjuran terapi imunomodulator, memastikan bahwa Anda menerima data terperinci dan dapat ditindaklanjuti untuk penelitian Anda.
Bermitra dengan Prisys untuk Penelitian Mutakhir
Dengan bermitra dengan Prisys Biotechnologies, Anda mendapatkan akses ke platform praklinis canggih yang dapat memajukan penelitian penyakit imunologi dan inflamasi Anda secara signifikan. Tim kami yang berdedikasi siap berkolaborasi dengan Anda, menyediakan keahlian dan sumber daya yang diperlukan untuk memajukan proyek Anda. Untuk mempelajari lebih lanjut tentang platform I&I komprehensif kami dan manfaatnya bagi penelitian Anda, silakan terlampir materi deskriptif terperinci kami. Untuk informasi lebih lanjut tentang model NHP kami atau untuk mengatur sesi perkenalan, silakan hubungi kami. Kami berharap dapat mendiskusikan bagaimana Prisys dapat mendukung transformasi penelitian dan pengembangan obat Anda dan membantu perjalanan Anda menuju solusi terapeutik yang inovatif.











